Trusted by hundreds of clients

About us

5* rated
practice
Recognised for exceptional care and service we are proud to have hundreds of 5* reviews from our patients.

Thousands of smile
transformations
We’ve transformed thousands of smiles through advanced dental techniques -whatever the issue, we’re here to help.

State-of-the-art
technology
Equipped with the latest advanced tools like 3D scanners to deliver precise, efficient care.

Patient-centred
care
We prioritise comfort, clarity, and flexible payment options and dental plans for stress-free treatments.
Prioritise your oral health
A confident smile can open doors. Let us help you achieve the smile you deserve. Schedule your consultation today.
Live Better
A healthy smile can boost your self-esteem and improve your overall quality of life.
Smile with Confidence
Whether it's a wedding, job interview, or simply a night out, a beautiful smile can make a lasting impression.
Health & Wellbeing
Dental implants are a long-term solution that can improve your ability to eat, speak, and smile.
Enquire Now


Smile without stress
From understanding your fears to offering soothing solutions, our dedicated team empowers you with an anxiety-free journey to a healthier, happier smile.
Pain-Free Dentistry for a Comfortable Experience
We use gentle techniques and state-of-the-art technology to ensure your visit is as comfortable and pain-free as possible.
Quality Care, Flexible Payment Options
We believe you deserve quality dental care without the financial stress. That’s why we offer a variety of payment plans and members a !
Modern Dentistry, Gentle Approach
With today’s advancements in dental technology, we’re able to minimise or even avoid the use of intimidating tools like drills.
Enquire Now
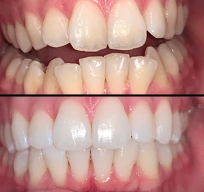
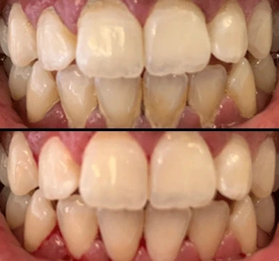
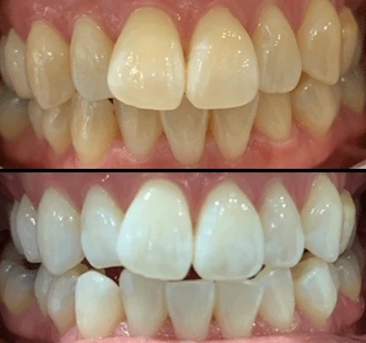
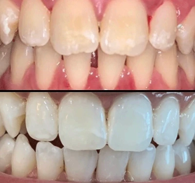
Before and After
Real people, real results. See how our treatments have transformed our patients.
What to Expect
Start your journey to a confident smile with a consultation and a personalised dental care plan tailored to you.

Book a
consultation
Take the first step toward a life-changing smile by scheduling your consultation today.

Personalised consultation
Our expert will assess your needs and create a tailored treatment plan to restore your confidence.

Start your
treatment
Begin your journey to a healthy, beautiful smile with professional care designed to fit your lifestyle.

Ongoing monitoring & care
We’ll support your progress with regular check-ins to ensure your smile transformation is on track.
Feel confident again
Enjoy a radiant, natural smile that boosts your confidence and changes the way you live. Call today!











