
Trusted by hundreds of clients

Care Package &
Aftercare
We offer an implant aftercare pack and 12 months of aftercare support to ensure your comfort throughout.
Simple steps to restoring your smile
Our straightforward, three-step process is designed for your comfort, ensuring you receive a lasting, natural-looking solution in a few simple visits.
We start with a thorough consultation, assessing your oral health, taking digital scans, and creating a personalised treatment plan for optimal results.
*£49 deposit required
Implant Placement
A precise, minimally invasive procedure places the dental implant into your jawbone, creating a secure, root-like foundation for lasting stability.
Restoration and Final Fitting
After the implant bonds with your jawbone, we attach a custom crown that blends perfectly with your teeth, giving you a restored smile that looks, feels, and functions like a natural tooth.
Enquire Now
Embrace a lifetime of happiness
Say goodbye to dentures and bridges. Dental implants offer a durable, permanent replacement for missing teeth, helping you enjoy life without limitations.
Enjoy a Nutrient-Rich Diet
Dental implants restore bite strength, letting you comfortably enjoy protein-rich foods like nuts, lean meats, and crunchy vegetables essential for health and energy.
Boost Confidence and Self-Esteem
Dental implants provide a complete, natural-looking smile that boosts confidence and self-image, allowing you to laugh, talk, and smile freely.
Improve Speech and Comfort
Dental implants offer a stable foundation for improved speech clarity and chewing comfort, allowing you to enjoy life without the discomfort of missing teeth or dentures.
Enquire Now
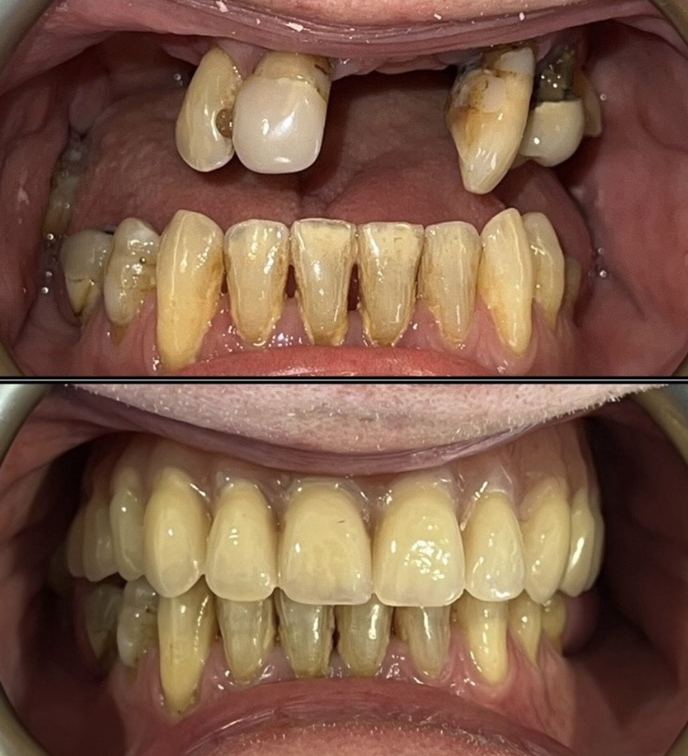
Before and After
Real people, real results. See how our treatments have transformed our patients smiles.




Hear About Our Patients Experience
Discover Why Patients Trust Us for Their Dental Care
Patient Story
Enquire Now
What to Expect
Start your journey to a confident smile with a free* consultation and a personalised dental care plan tailored to you.

Book a Consultation
Take the first step toward a life-changing smile by scheduling your complimentary consultation today. *£49 deposit required

Personalised Consultation
Our dental expert will assess your needs and create a tailored treatment plan.

Start your
Treatment
Begin your journey to a healthy, beautiful smile with professional care designed to fit your lifestyle.

Ongoing Monitoring
We’ll support your progress with regular check-ins to ensure your smile transformation is on track.

Feel Confident
Again
Enjoy a radiant, natural smile that boosts your confidence and changes the way you live. Call today!






