

5 star rated clinc on google
Have you been told nothing can be done with your teeth?
With over 20 years of experience, we focus on solutions other dentists won't attempt.
We help patients rebuild their smile, even after failed dental work, complex cases or being turned away elsewhere.

5 star rated clinic on google
Have you been told nothing can be done with your teeth?
With over 20 years of experience, we focus on solutions other dentists won't attempt.
We help patients rebuild their smile, even after failed dental work, complex cases or being turned away elsewhere.




When dental problems become more complex
Dental problems sometimes build up over time. A missing tooth may affect nearby teeth, and older dental work may begin to fail.
The bite may start to feel uncomfortable. In situations like this, the solution is not always a single treatment.
A restorative approach looks at the overall condition of the teeth, gums, and bite before deciding the best way forward.


When dental problems become more complex
Dental problems sometimes build up over time. A missing tooth may affect nearby teeth, and older dental work may begin to fail.
The bite may start to feel uncomfortable. In situations like this, the solution is not always a single treatment.
A restorative approach looks at the overall condition of the teeth, gums, and bite before deciding the best way forward.
Patients we often see
Many patients come to us after being told treatment is difficult
This may include:
Implants that have failed
Complications after same day teeth treatment
Missing teeth affecting the bite
Crowns or bridges that have broken down
Bone loss or complicated dental history
A detailed assessment can often help clarify what options may be available.
Book Free Consultation


If this sounds familiar, you're not alone.
You avoid smiling, photo's or social situations
You've considered going abroad, or already have & regret it
You've been told your case is too complex
Your dentist told you it's not worth fixing
Book Free Consultation

Patients we often see
Many patients come to us after being told treatment is difficult
This may include:
Implants that have failed
Complications after same day teeth treatment
Missing teeth affecting the bite
Crowns or bridges that have broken down
Bone loss or complicated dental history
Book Free Consultation
A detailed assessment can often help clarify what options may be available.
Hear about our patients experience
Discover Why Patients Trust Us for Their Dental Care.
Trusted by patients who thought they'd run out of options
Discover Why Patients Trust Us for Their Dental Care

If this sounds familiar, you're not alone.
You avoid smiling, photo's or social situations
You've considered going abroad, or already have/regret it
You've been told your case is too complex
Your dentist told you it's not worth fixing
Book Free Consultation
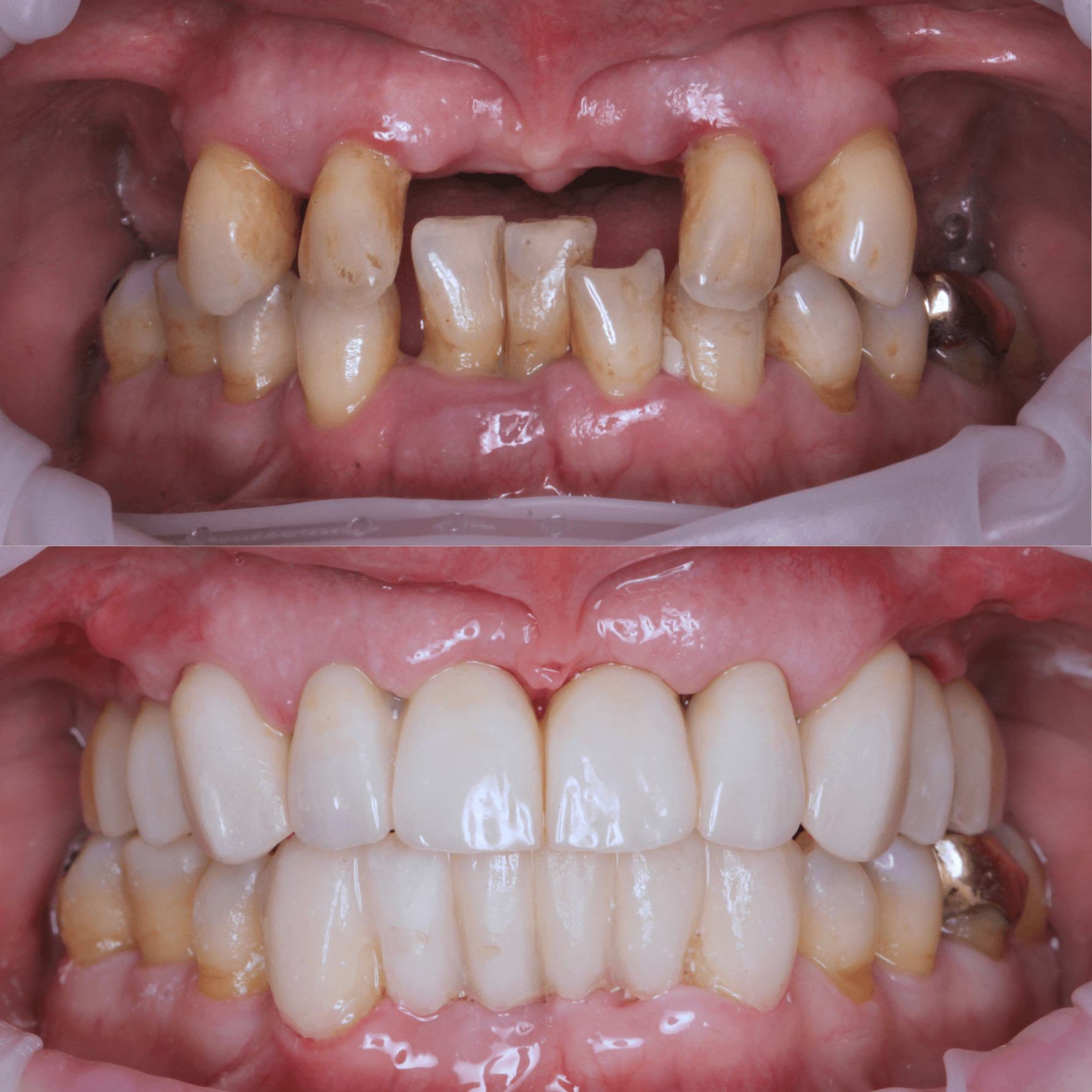
Before and after
Real people, real results. See how our treatments at Aviva Dentistry have transformed smiles.

Patient B
A full mouth rehabilitation of whitening, reshaping, and restoring worn teeth, resulting in a brighter, more even, and natural-looking smile.


Patient A
A full mouth rehabilitation using dental implants restoring function and delivering an aesthetically enhanced smile.

Patient C
Invisalign aligners to straighten and correct teeth alignment, resulting in a straighter and more confident smile.

Patient C

Invisalign
Invisalign aligners to straighten and correct teeth alignment, resulting in a straighter and more confident smile.


Invisalign
Invisalign to correct teeth alignment and improve spacing, resulting in a straighter and more balanced smile.


Invisalign
Invisalign to straighten and align teeth, resulting in a more even, bright, and confident smile.


Invisalign
The treatment involved reshaping and enhancing teeth, resulting in a more symmetrical pleasing smile.

Before and after
Real people, real results. See how our treatments at Aviva Dentistry have transformed smiles.

patient A
A full mouth rehabilitation using dental implants restoring function and delivering an aesthetically enhanced smile.

Patient B
Whitening, reshaping, and restoring worn and broken teeth, resulting in a brighter, more even, and natural-looking smile.

patient c
Restoration through dental implants and enhanced shaping with composite bonding, resulting in a complete smile.

patient d
Restoration through dental implants and enhanced shaping with composite bonding, resulting in a complete smile.
What to expect
Start your journey to a confident smile with a free consultation and and together lets create your personalised dental care plan.

Explore your
treatment options
Discover treatments designed to restore the health, comfort, and appearance of your smile.

Your
consultation
We examine your teeth, review your dental history, and explain the possible options.

Is this right
for you
Ideal if you have missing teeth, failed dental work, or want a second opinion before treatment.

Clear treatment guidance
Our team explains the possible treatments so you can make informed decisions with confidence.
What to expect
Start your journey to a confident smile with a free consultation and and together lets create your personalised dental care plan.

Explore your
treatment options
Discover treatments designed to restore the health, comfort, and appearance of your smile.

Your
consultation
We examine your teeth, review your dental history, and explain the possible options.

Is this right
for you
Ideal if you have missing teeth, failed dental work, or want a second opinion before treatment.

Clear treatment guidance
Our team explains the possible treatments so you can make informed decisions with confidence.

Dr Ponnusami
PRINCIPAL DENTIST
"Our passion as a team is transforming smiles and restoring function with precision and compassion. At our practice, we stay at the forefront of dental advancements to ensure every patient receives the highest standard of care in a welcoming environment"
Book Free Consultation

Dr Ponnusami
PRINCIPAL DENTIST
"Our passion as a team is transforming smiles and restoring function with precision and compassion. At our practice, we stay at the forefront of dental advancements to ensure every patient receives the highest standard of care in a welcoming environment"
Book Free Consultation

Dr laura tran
Invisalign Dentist
"Invisalign empowers patients to improve their smiles discreetly and comfortably, making orthodontic care more accessible and appealing than ever."
Start with a clear plan, not guess work.
Start with a clear plan, not guess work.
If you've been putting this off, you're not alone.
Submit your details and our team will contact you to arrange your appointment at Aviva Dentistry in St Albans.
If you've been putting this off, you're not alone.
Submit your details and our team will contact you to arrange your appointment at Aviva Dentistry in St Albans.
Book Free Consultation
£50 deposit required to secure your appointment.
£50 deposit required to secure your appointment.


